Хараагаа алдсан хүмүүст зориулж суулгац бүтээжээ
ДЭЛХИЙН МЭДЭЭ | ШИНЖЛЭХ УХААН
ЛОНДОН, 2025 оны аравдугаар сарын 23 /NEJM/. Лондоны Их сургуулийн коллеж (UCL), Мүүрфилдс эмнэлгийн судлаачид насжилтаас шалтгаалсан шар толбоны сөнөрөл өвчтэй хүмүүсийн харааг хэсэгчлэн сэргээж чадах нүдний суулгацыг зохион бүтээн туршжээ. Энэхүү суулгацыг нэмэлт бодит байдлын технологи бүхий нүдний шилтэй хослуулан ашигласнаар үр дүнд хүрсэн байна.
“The New England Journal of Medicine” (NEJM) сэтгүүлд нийтэлсэн судалгааны дүнг үзвэл, төвийн хараагаа бүрэн алдсан оролцогчдын 84 хувь нь үсэг, тоо болон үгсийг ялган таньж чадсан байна.
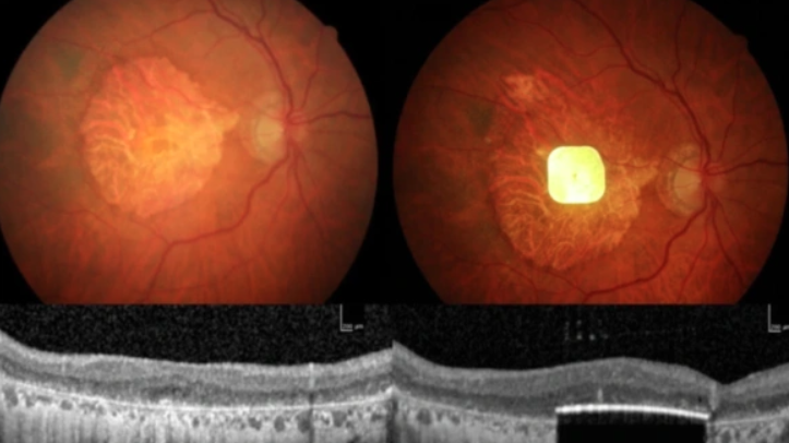
PRIMA хэмээн нэрлэсэн энэхүү суулгац нь ердөө 2×2 мм хэмжээтэй бичил чип бөгөөд торлог бүрхэвчний доор байрлуулдаг. Тус чип нь бичил нарны зай хураагуурын адил ажилладаг ажээ. Нүдний шилэнд суурилсан камер дүрсийг барьж авч, түүнийг инфра улаан туяаны дохио хэлбэрээр чип рүү дамжуулдаг байна. Харин чип уг мэдээллийг цахилгаан импульс болгон хувиргаснаар тархи түүнийг харааны мэдээлэл гэж хүлээн авдаг. Мэс засал хийсний дараа өвчтөнүүд хэдэн сарын турш сэргээн засах эмчилгээ хийлгэснээр дүрс, бичвэр болон хүний царайг таних чадвар нь аажмаар сэргэдэг байна.
Уг төслийн Британийн талын ахлагч, нүдний эмч Махи Мукитийн хэлснээр, анагаах ухааны түүхэнд анх удаа төвийн хараагаа бүрэн алдсан өвчтөнүүд дахин унших чадвараа сэргээж чаджээ. “Бид хиймэл харааны шинэ эрин үеийн босгон дээр ирээд байна” хэмээн тэрбээр онцлон тэмдэглэлээ.
Энэхүү технологи нь хараа алдалтын бусад хэлбэрийг эмчлэх универсал бионик системүүдийг хөгжүүлэх үндэс суурь болж чадна гэж зохион бүтээгчид үзэж байна. Олон улсад туршиж бүрэн дууссаны дараа уг төхөөрөмжийг хэрэглээнд нэвтрүүлэх зөвшөөрөл олгоно.